About
Us
Our
Practice
Our Team
Gallery
Parking
Treatments
Testimonials
Fees
Referrals
Team
Success Rates
Root Canal / Retreatment
Apical Microsurgery / Apicectomy
Technology
Referrals Fees
Testimonials
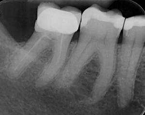
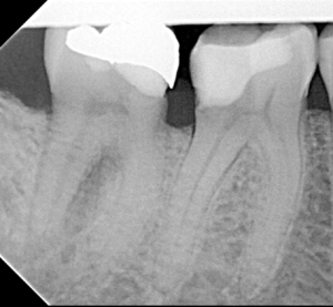
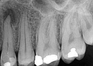
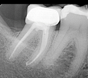
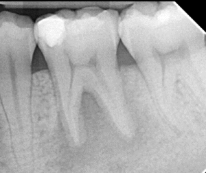
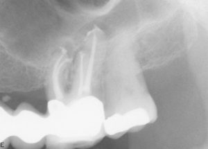
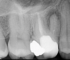
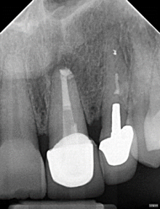
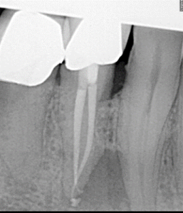
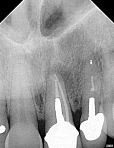
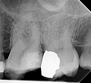
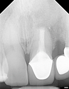
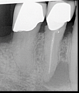
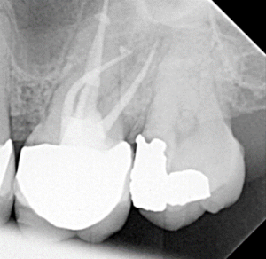
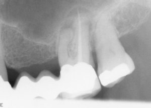
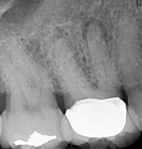
Clinical Cases
Contact Us
Parking & Change of Location
1a Peveril Road, Beeston, Nottingham, NG9 2HY
thecastleclinic@hotmail.com
|
0115 855 6123
Home
»
Referrals for Specialist Endodontics
»
Clinical Cases
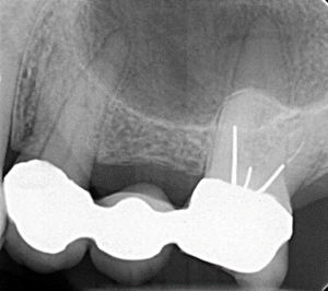
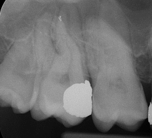
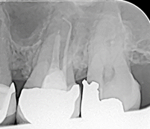
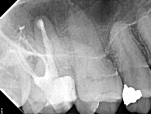
Clinical Cases